Das Wichtigste zum Akustikusneurinom in Kürze

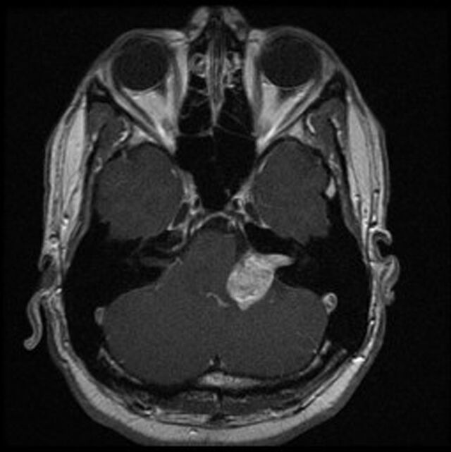
• Das „Akustikusneurinom“ (besser: Vestibularisschwannom, weil es sich fast immer am Gleichgewichtsnerven [Vestibularis] bildet) ist eine gutartige Geschwulst. Sie hat nichts mit Krebs zu tun und bildet keine Tochtergeschwülste (Metastasen).
• Abwarten — Mikrochirurgische Tumorentfernung – Bestrahlung (Radiochirurgie, Stereotaktische Strahlentherapie) und Kombinationen dieser drei sind die Säulen des modernen medizinischen Managements der Vestibularisschwannome. Medikamentöse Behandlungsmethoden werden in letzter Zeit zunehmend bei Patienten mit der sehr seltenen chronischen Erkrankung Neurofibromatose Typ 2 mit Vestibularisschwannomen auf beiden Seiten eingesetzt.
• Meist stehen drei Nerven im Mittelpunkt des Geschehens: Gleichgewichtsnerv, Hörnerv und Fazialisnerv, also der Nerv, der für die Bewegung unserer Gesichtsmuskeln, aber auch für Geschmack und Tränensekretion zuständig ist.
• Die häufigsten Symptome sind Hörminderungen, Ohrgeräusche und der die Lebensqualität manchmal schwer einschränkende Schwindel mit oder ohne Gangunsicherheit. Fazialisstörungen entstehen fast immer erst durch eine Behandlung.
• Die durch das Tumorwachstum erzeugten Beschwerden können nach einer Behandlung zunächst verstärkt sein, sich aber nach der Behandlung im Verlauf von Tagen bis Jahren durch Regeneration im Vergleich zum Ausgangszustand deutlich verbessern. Umgekehrt können auch durch eine Behandlung neue Symptome entstehen, die manchmal dauerhaft verbleiben.
• Wichtig ist es daher, im Dialog mit den Experten in jedem einzelnen Fall das individuell passende, optimale Management zu finden.

Häufig gestellte Fragen zum Akustikusneurinom

Im weiteren Verlauf finden Sie Antworten auf die wichtigsten Fragen.